029 608 22 22
029 508 22 22
029 608 22 22
029 508 22 22
Пожаловаться на акцию
Конверсия 0%
Взято всего:
9606 промокодов из 9622
Взято сутки/месяц:
0 /0 промокодов
Просмотров сутки/месяц:
17/628
До завершения:
Отзывы/оценка:
282 /
Стоимость:
- Получить промокод можно до 31.01, воспользоваться до 01.04.26
- Предварительная запись с озвучиванием промокода обязательна
- Промокод дает право на скидку 17% на отбеливание зубов с помощью системы Beyond в стоматологическом центре "Доктор рядом"
- Стоимость услуги:
- Отбеливание Beyond Polus Advanced: 395 р. 475 р.
- Подробное описание услуги читайте ниже
- Что такое отбеливание и есть ли после него результат? Подробнее в нашем фотогиде
- Один промокод - одна услуга со скидкой.
- *Скидка на промокоды до 30% при пополнении баланса
- *Промокоды от 19 коп. по подписке
- Возможные доплаты по прейскуранту предварительно согласовываются с пациентом!
- Акция не обслуживается по картам рассрочки.
- Скидка промокода не суммируется со скидками других дополнительных акций или спецпредложений.
- В ходе консультации врач, перед проведением процедуры, ознакомит с возможным возникновением побочных эффектов.
- Стоматологический центр "Доктор рядом" оставляет за собой право изменить цену, опубликовав ее заранее на сайте.

Почему пациенты выбирают стоматологический центр "Доктор рядом":
- В клинике для лечения зубов используется новейшее оборудование производства США, Германии, Японии
- Для лечения кариеса мы используем современные пломбировочные материалы и анестетики самого последнего поколения, производства Германии, Японии, США
- В стоматологическом центре работают исключительно высококвалифицированные опытные врачи. Победители и участники международных конкурсов профессионального мастерства
- В центре заботятся о безопасности своих пациентов. В клинике внедрена европейская система многоуровневого контроля качества стерилизуемых инструментов. Все стоматологические установки оснащены системой "Антиспид".
Услуги стоматологического центра "Доктор рядом":
- Терапия: лечение кариеса, пульпита и периодонтита; лечение зубов под микроскопом; реставрация; шинирование; детский прием
- Ортопедия: металлокерамические коронки; безметалловые конструкции; бюгельное протезирование; съемное протезирование
- Хирургия: удаление зубов; имплантация; синуслифтинг; пьезохирургия
- Ортодонтия: съемные ортодонтические аппараты различной сложности; установка металлических и эстетических брекет-систем.
BEYOND Polus – самый безопасный способ отбеливания зубов!

Отбеливание зубов с использованием системы Beyond Polus Advanced 2017 замечательная процедура, после которой Ваши зубы будут сохранять прекрасный вид еще в течение нескольких лет. Beyond Polus - это продвинутая методика безопасного отбеливания.
Стимуляция окислительного процесса производится за счет мощного воздействия света из голубой области спектра (480-520 нм). Излучение пропускается сквозь систему оптической фильтрации, удаляющую неблагоприятный ультрафиолет. Холодный световой пучок идеально справляется с возложенными на него задачами – беспрепятственным проникновением к дентину и абсолютно безвредной стимуляцией окисления. Свет проходит двойную фильтрацию: оптоволоконную и оптическую.
Качество получаемого на выходе спектра позволяет добиться максимально возможной белизны зубов за кратчайший промежуток времени.
Лампы-акселераторы Beyond Polus получили лучшую из всех возможных оценок от независимого стоматологического издания Dental Advisor и в ходе практических исследований доказали свою высокую клиническую эффективность (98%).
Такая методика отбеливания АБСОЛЮТНО БЕЗВРЕДНА, а длительность процедуры составляет всего 60 минут!

!ВАЖНО!
Для того, чтобы сделать отбеливание без последующих осложнений – пациенту необходимо избавиться от кариеса. Также перед процедурой отбеливания зубов необходимо проведение профессиональной гигиены.
Этапы процедуры отбеливания зубов на системе Beyond Polus Advanced 2017
- Во время приема доктор делает профессиональные снимки полости рта до и после, чтобы пациент без труда мог убедиться, что результат есть. Перед тем, как запечатлеть "до", подбирается образец зуба, который максимально похож по цвету, чтобы в результате определить, на сколько тонов зубки побелели.
- Изолирование десны от геля специальным составом, который застывает на верхней части зуба, тем самым предотвращая попадание геля на десну.
- На зубы наносится гель, а потом включается на 10 минут лампа. И так три раза. Огромным плюсом является то, что это методика безопасного и безболезненного отбеливания, которая демонстрирует настоящий результат.
- Рекомендации доктора: "белая диета", которая подразумевает отказ от цветной, красящей пищи. Такую диету необходимо выдержать в течение минимум 48 часов. Далее кофе и цветные напитки рекомендуется употреблять через трубочку. Также необходимо использовать абразивные пасты с отбеливающим эффектом.
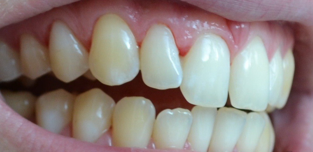
Реальный эффект от процедуры отбеливания зубов системой beyond polus
![]() фото зубов ДО процедуры |
![]() фото зубов ПОСЛЕ процедуры |
Кому можно делать отбеливание зубов? Процедуру отбеливания зубов при помощи BEYOND Polus может делать любой, кто хочет иметь красивую белоснежную улыбку. Особенно эта процедура показана пациентам с наличием пятен на поверхности эмали (от кофе, чая, сигарет и др).
Противопоказания: аллергия на использованные материалы; инфекционные заболевания в стадии обострения; период беременности и лактации; онкология, сахарный диабет и другие тяжелые заболевания; наличие протезов, коронок и фотополимерных реставраций во фронтальной области; воспаление десен, кариес и его осложнения, негерметичные пломбы.
Что важно знать перед отбеливанием зубов системой Beyond Polus?
- Окончательный результат отбеливания установится через 2 недели после процедуры. В течение этого времени цвет эмали может меняться. Поэтому заменять реставрации на зубах под новый цвет рекомендуется не ранее, чем через 2 недели.
- Невозможно предсказать, на сколько тонов осветлятся зубы. Но на практике доказано, что каждое последующее отбеливание улучшает эффект предыдущих процедур. Также поддерживать результат поможет домашнее отбеливание в капах, которое при необходимости подберет ваш стоматолог-терапевт.
- Для отбеливания используется специальный RS-гель с компонентами для снижения чувствительности зубов у пациентов во время и после отбеливания.
Отбеливание зубов в стоматологической клинике "Доктор рядом" подарит Вам белоснежную сверкающую улыбку.
Вы все еще мечтаете отбелить зубы? Хватит мечтать - пора воплотить мечту в реальность! Приходите к нам, бесплатная консультация наших специалистов поможет подарить Вам улыбку мечты! 👄

Стоматологический центр "Доктор рядом"

Мы всегда рады помочь: служба поддержки Slivki.by ответит на любой ваш вопрос











Введите код из письма
Создайте новый пароль
Используйте не менее 8 символов: латинские буквы, как минимум 1 заглавную букву, 1 строчную букву, 1 цифру и 1 специальный символ (!@#&-). Например: Gn111-999
Пароль отправлен на ваш электронный ящик
Поделиться с другом:
Статистика
Рейтинг акции
Глобальный
на сайте
В категории
В субкатегории
Оценки
Продажи всего
за сутки
за 30 дней
Продажи онлайн
за сутки
за 30 дней
Продажи по звонку
за сутки
за 30 дней
Просмотры
за сутки
за 30 дней
Конверсия продаж
за неделю
за 30 дней
Привяжите почту и объедините свои
аккаунты в один

Отзывы (282)
★0
Фотографии пользователей: